www.sporty-springers.de News Rasse Sport Wir, Über uns Meine Hunde Zucht Fotogalerie Links / Kontakt

News Archiv

aktuelles Welpentagebuch

 

 

 

 

27.12.2010

Happy Birthday, B-Wurf!

SS Bloody Mary (Fine) gratuliert ihren sieben Geschwistern ganz herzlich zum 5. Geburtstag. Alles Gute für das nächste Lebensjahr wünschen wir Barani, Scotty, Matisse, Ronja, Abby, Loulou und Gwynn. Ich freue mich schon auf die Geburtstagsfeier heute Abend.

Es gibt ein kurzes Update in Lovis Tagebuch.

 

25.12.2010

Sporty Springers in 2010

Wie jedes Jahr gibt es am ersten Weihnachtsfeiertag den ausführlichen Rückblick auf das vergangene Jahr. Ein paar Zahlen, Daten, Fakten und ein wenig Rührseliges gibt es HIER zu lesen. Allerdings muß ich dazu sagen, dass der ganze Bericht ein wenig Überlänge hat und wir zwischendrin keine Pause machen, also versorgt euch vorher mit Popcorn, Cola und Eis und schaltet bitte die Handys aus.

Stellvertretend für unseren G-Wurf in 2010 ist SS Golddust (Eddy) heute das Covergirl der News.

 

20.12.2010

Ein bißchen wie im Märchen:

SS Energía ist Show "ESS des Jahres 2010"

Wer hätte das gedacht? ICH hätte am allerwenigsten geglaubt, dass einmal ein Sporty Springer die Punkte-Tabelle des Jagdspaniel Klub anführt. Um genau zu sein, war es auch nie mein Ziel, aber freuen tut es mich trotzdem. Vor allem für Ambers Besitzerin Natalie Bökenkamp die wohl in diesem Jahr mit ihrer tollen Hündin im Zuchtschaubereich alle selbstgesteckten Ziele übertroffen hat und für die dieser "Titel" den krönenden Abschluß eines gelungenen Jahres mit enorm viel Engagement bedeutet. Natalie hat als Newbie im Showgeschäft ihre Amber zu den Jugendchampiontiteln geführt, zum BOS, BOB und sogar Best in Show. Ich ziehe meinen imaginären Hut vor Natalies Durchhaltevermögen, Ehrgeiz und Biss und freue mich unendlich dieses tolle Team zusammengebracht zu haben, auch wenn dies nur ein kleiner Beitrag zum Lorbeerkranz ist.

 

18.12.2010

Crazys Wintersport beginnt grandios

Sandra Klaus und ihre SS Crazy Blizz sind heute beim Agilityturnier des HSV Potsdam Mittelmark in der A1 fehlerfrei geblieben, ein dritter Platz war ihnen damit sicher und dadurch die erste Quali für den Start in A2. Auch im Jumping blieben sie fehlerfrei und kamen somit in einer Kombinationswertung sogar auf Platz 2. Gerichtet hat Sybille Vogt. Sandra hat bis zum voraussichtlichen Decktermin von Crazy noch zwei Winterturniere gemeldet- wer weiß, vielleicht wird Crazy sogar den Aufstieg bis dahin noch klar machen. :o) Decktermin? mehr Infos HIER.

Es gibt ausserdem ein Update in Lovis Trainingstagebuch.

 

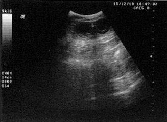
15.12.2010

Enkelwelpen unterwegs

Der Ultraschall bringt es ans Licht: Mitte Januar erwartet der Kennel Felicitous den A-Wurf aus der Verbindung SS Firefox X Under Controll vom Springer Clan.

Susanne Menten führt auch ein Welpentagebuch auf ihrer Homepage hier, in dem man den Werdegang unserer "Enkelwelpen" verfolgen kann.

Dies ist der zweite Wurf mit Enkelkindern nach meiner Joy und ich bin sehr gespannt was sich Anfang 2011 in der Wurfkiste tummelt.

 

 

12.12.2010

der zweite Tag in Kassel

brachte für SS Fairy Tale (Lotta) ein SG2 in der Jugendklasse und für SS Energía (Amber) in der offenen Klasse ein V4.

So, jetzt reicht es aber mit Zuchtschauen für dieses Jahr.

 

11.12.2010

Lottas erste grosse Schau

Bei der heutigen NRAS in Kassel bekommt SS Fairy Tale (Lotta) in der Jugendklasse Hündinnen das V1 mit Jugend CAC. Herzlichen Glückwunsch an das glückliche Frauchen Petra Iske, die mit ihrem Kennel vom Heidenküppel meine über alles geliebte Nova hervorgebracht hat. SS Energía (Amber) bekommt in der offenen Klasse das erste SG4 ihrer Schaukarriere.

Eine stressfreie Adventszeit wünscht Cinco (Foto) allen Besuchern dieser Homepage.

Es gibt ein Update in Lovis Tagebuch.

 

29.11.2010

Fotos, Fotos, Fotos

Der letzte Steinkistenspaziergang in 2010 hat stattgefunden, diesmal mit überdurchschnittlich viel schwarz-weißer Beteiligung. Wer sich ein Bild machen möchte hat HIER in Heinz Höflings Galerie die Möglichkeit dazu.

Auf dem Foto rechts hüpft Joker (SS Goldnugget) durch die grüne Wiese. Dieses Foto und andere aktuelle Fotos einiger Ne-G-erlein gibt es jetzt in der Galerie dieser Homepage.

 

27.11.2010

..in unserem Bunde der Dritte ...mit BH!

SS Firebird (Falk) und Frauchen Katja Müller legten heute zur großen Überraschung der Züchterin die Begleithundprüfung ab. Ich hatte keine Gelegenheit die Daumen zu drücken für dieses junge Team und so war die Freude am Abend groß. Falk absolvierte Unterordnung und Verkehrsteil der BH bei der SV OG Ewersbach unter dem Leistungsrichter Günter Schwedes. Als einzige Wackelübung funktionierte Heute auch die Ablage, sodass auch Falk und Katja jetzt die Hundesportwelt offen steht.

Meinen allerherzlichsten Glückwunsch!!!

 

25.11.2010

Der schönste Hund von Greven?

In Käthes Heimatstadt Greven hat die Zeitung einen Preis für das schönste Hundefoto ausgelobt. Es findet ein Onlinevoting statt. SS Goldpiece genannt Käthe von der Karlstraße ist dabei. Stimmen sie bitte mit ab für Hund Nr 9 -Käthe. Das Preisgeld, sollte sie gewinnen, kommt ihrer Rettungshundestaffel zugute. Momentan liegt ihr Foto auf Platz drei, ein paar Clicks von Spanielfreunden brauchen wir also noch dringend. Mehrfach Abstimmung ist nach einer gewissen Zeit wieder möglich.

Online-Voting HIER.

 

22.11.2010

Doppelt hält besser

Laurin (SS Fireworx by Laurin) und Jamie (SS Fraser) liefen Gestern in Köln Bocklemünd ein zweites Mal die Begleithundprüfung. Wieder bestanden sie locker, Jamie und Frauchen Monika Morlak sogar mit dem 2. Platz im "Pokalkampf". Jamies Prüfung ist jetzt online Hier

Ich gratuliere Birgit und Monika ganz herzlich zu ihren jugendlichen Begleithunden!

 

SRA Iserlohn für Amber V2

SS Energía wurde Gestern bei der Ausstellung in Iserlohn gezeigt und erhielt V2 und das Res. VDH CAC in der offenen Klasse Hündinnen.

 

1. Spaniel Obedienceworkshop

Das vergangene Wochenende versammelte 6 Spaniels unterschiedlichster Varietäten und Altersgruppen zusammen mit ihren lernwilligen Zweibeinern auf einem Hundeplatz in Hamm wo der erste diesjährige Obedience Workshop nur für Spaniels stattfand. Als Kursleitung hatte ich sehr viel Spaß an den wißbegierigen Hundeführern und den strahlenden Gesichtern der lernenden Spaniels. Ein ausführlicher Bericht mit netten Schnappschüßen folgt in Kürze in Lovis Trainingstagebuch.

 

18.11.2010

Damenbesuch für Pommes

Gestern und Vorgestern war die süße Luise (Under Control vom Springer Clan) hier auf ein Stelldichein mit Pommes (SS Firefox). Sehr jungfräulich gingen die beiden in ihr erstes Treffen und man fragt sich wirklich wie die viel gerühmten Uuuups-Würfe entstehen ;-) Aaaaber wenn man erstmal den Bogen ´raus hat...

... also hoffen wir gemeinsam mit Susanne Menten und Gudrun Silingardi auf den A-Wurf im Kennel Felicitous (Solingen) Mitte Januar. Über sportlich aktive Welpenanfragen freut man sich dort auch schon, gerne vor Geburtstermin (e-mail: ess@felicitous.de).

Mehr Infos über diese Verpaarung gibt es HIER.

Ich werde natürlich alles genauestens verfolgen und an dieser Stelle berichten.

 

14.11.2010

... und los geht´s für Laurin und Jamie

Heute wurde ich Augenzeugin der Begleithundeprüfungen von SS Fireworx by Laurin und SS Fraser. Jamie mit Monika Morlak und Laurin mit Birgit Funk legten gemeinsam die BH beim Retrievertrainingstreff ab. Mit 15 Monaten und damit dem Mindestalter zur Begleithundprüfung präsentierte Jamie sich wie ein Großer und heimste dicke Punkte ein, auch Laurin bestand locker. Den beiden F-röschchen steht somit die Hundesportwelt offen und ich gratuliere noch einmal ganz herzlich.

Camaro und Trix platziert im Canicross

Bereits gestern erlief sich Beatrice Schneeberger mit ihrem SS Camaro bei einem Canicrosslauf einen Treppchenplatz. Das Team wurde 3. von 11 Teilnehmerinnen.

 

 

12.11.2010

Happy Birthday E-spañas!

Und wieder ist ein Jahr vergangen, Mocca , Amber, Poldi und Oskar werden schon zwei Jahre alt. Auf dem Foto sieht man Mocca nach einem anstrengenden aber offensichtlich erfolgreichen Jagdtag. Liebe E-spañas, geniesst euren Ehrentag.

 

10.11.2010

mäßig zufrieden- Laurin HD C1

Als viertes F-röschchen hat nun SS Fireworx by Laurin seine offizielle HD Auswertung bekommen. Mit dem Ergebnis leichte HD (C1) kann man als Springer wohl gut leben, trotzdem ist es knapp an meinem persönlichen Zuchtziel vorbei. Insgesamt bin ich mit den bisherigen F-röschchenergebnissen nicht besonders glücklich und erwarte jetzt mit noch mehr Spannung die HD-Werte der noch Fehlenden.

Auf dem Bild ist nicht Laurin zu sehen sondern SS Goldrush (Helo).

 

08.11.2010

Schau mir in die Augen, Kleiner

Ich Ungeduldsperson konnte es mal wieder nicht abwarten und fand 10 Monate Alter sind eine gute Zeit für Cincos erste Augenuntersuchung. Auch die Gonioskopie haben wir mit machen lassen und alles ist in bester Ordnung. Was mich immer wieder erstaunt ist, wie ruhig alle meine Hunde die Prozedur über sich ergehen lassen. Selbst die wirklich unangenehme Gonioskopie geht ohne Zappeln und Jammern. Ich werte das als absoluten Vertrauensbeweis und freue mich über die Lobworte der Tierärzte, die ja leider oft mit dem Gegenteil zu kämpfen haben.

 

Springer-Kalender

Die Jury hat über die Kalenderbilder entschieden und HIER sieht man nun die offizielle Version. Der Kalender in DIN A4 Größe wird inklusive Porto ca 10€ kosten und kann bei mir oder bei der im Link angegebenen e-mail bestellt werden. Der Überschuss aus dem Kalenderverkauf geht an die English Springer Spaniel Welfare.

 

01.11.2010

Hip Hip Hooray- Aufstieg in die drei

Zum Saisonabschluß konnte SS Bouncing Matisse gestern beim Agilityturnier der SV-OG Kehl den Aufsteig in die A3 fest machen. Er gewann fehlerfrei in einem Starterfeld von 18 A2 Startern mit einer Laufgeschwindigkeit von 4,25 m/sec. Gerichtet hat Ursula Hubertus. Wir freuen uns mit seiner Führerin Ulrike Simon.

 

31.10.2010

CACIB Hannover

Gestern waren Cinco und Amber zur CACIB in Hannover gemeldet. Die Jugendklasse Rüden ist ja leider ziemlich leergefegt und so standen Cinco und ich wieder konkurrenzlos im Ring :-( Nun ja, er bekam das V1 und die Jugendchampionanwartschaften und sobald der Papierkram erledigt ist, darf Cinco sich Deutscher Jugendchampion VDH+Klub nennen. Wir hatten also einen einfachen "Durchmarsch" und haben die Titel innerhalb von 3 Ausstellungen im zarten Alter von 10 Monaten ergattert. Cinco und ich machen jetzt ein Schau-Päuschen bis es im nächsten Jahr wieder interessant wird, dann hoffentlich auch mal mit Konkurrenz im Ring.

Amber gewann wieder die Zwischenklasse mit V1 und VDH-CAC, bekam später das Res. Club CAC und das CACIB Reserve. Gerichtet hat Walter Schicker. Und weil es auf dieser Newsseite so viele Schau-Standfotos gibt heute einmal ein Schau-Relaxfoto von Amber.

 

28.10.2010

Augenuntersuchung und Gentestergebnis

News im Laufe der Woche bedeuten ja meistens, dass es Neuigkeiten auf dem Gesundheitssektor gibt. Das Ergebnis des Laboklin Gentests auf cord1 von SS Flirty Flake lautet Träger.

Ein wenig erfreulicher ist das Ergebnis der heutigen DOK-Augenuntersuchung ihres Bruders SS Firefox (Pommes- Foto rechts) auch die Gonioskopie wurde gemacht und Pommes ist in allen Bereichen befundfrei.

Seit längerem schon habe ich eine neue Seite im Seitenmenü unter "Zucht" versteckt, wer sie noch nicht gefunden hat, kann sich ab jetzt dort über die Sporty Springers Rüden mit ZTB informieren.

 

23.10.2010

Mutter-Sohn-Tag in Hannover

Bei der heutigen Obedienceprüfung des PHV Hannover starteten meine Undis und ihr Sohn SS Dallas Desperado. Dallas und seine Besitzerin Heidi Krüper erreichten 278 Punkte (Vorzüglich) in OI und damit Qualifikation für OII und den 2. Platz. Es war mir eine große Freude Dallas mal in einer Prüfung zu sehen. Mama Undis bekam vom Leistungsrichter A. Hoffmann 233,5 (Sehr Gut) und in OIII ebenfalls Platz 2.

 

Amber wieder Best of Breed

Bei der internationalen Rassehundeausstellung in Stuttgart errang SS Energía (Amber) das V1 VDH CAC, das Klub-CAC, wurde beste Hündin mit CACIB und auch Rassebeste (Best Of Breed) mit dem Titel Baden-Würtembergsieger. Das Foto unten von Amber und Natalie Bökenkamp stammt von M. Vogel.

 

17.10.2010

Déjà-vu: Dortmund Teil II

Cinco erhält wieder V1 und die J-CACs, heute mit folgendem Richterbericht: a well matured and well balanced young male, very nice head and shoulders, a bit narrow in front. Well developed forechest for his age, nicely built strong hindquarter, well set tail, moves soundly, a bit narrow behind. Very nice breed type without any extremity. SS Energía (Amber) bekam auch wieder V1 in der Zwischenklasse Hündinnen, jedoch ohne Anwartschaften. Die Showfotos von Cinco stammen mal wieder aus der Kamera von Susanne Menten (Kennel Felicitous)- vielen Dank dafür!

HD B die dritte

HD B2 hat Sporty Springers Flirty Flake bescheinigt bekommen. Flake ist damit das dritte F-röschchen mit B-Hüfte.

 

16.10.2010

Cinco Bundesjugendsieger

Bei der heutigen Bundessiegerzuchtschau in den Westfalenhallen Dortmund konnte Cinco das erste Mal in der Jugendklasse laufen. Er bekam V1 sowie die Jugendchampionanwartschaften und hat seinen ersten Titel: "Bundesjugendsieger 2010". Auch SS Energía bekam in der Zwischenklasse V1 und das VDH-CAC. Die V´s waren bei dem Zuchtrichter Herrn Wiblishauser nicht an der Tagesordnung, darum freuen wir uns umso mehr.

Noch mehr HD

Auch das HD-Ergebnis von SS Firefox (Pommes) ist da. Er hat HD B1 bescheinigt bekommen.

 

11.10.2010

Agility-Saisonabschluß mit Platzierungen

Der vergangene Sonntag war wieder recht erfolgreich für SS Anubis, SS Black Gwynniver und Ines Hofeditz. Am zweiten Turniertag in Ahlen landete Anubis (Foto rechts von H. Höfling) auf Platz 2 und Gwynn auf Platz 3 der A3 Standardteams mit jeweils einem Fehler. Gerichtet hat Hubertus Schulte.

HD-Auswertung von Coffee eingetrudelt

Als sechstes von sieben C-chen wurde SS Coffee `N Cream geröngt und es liegt nun auch nach einigen Irrungen und Wirrungen das offizielle HD Ergebnis von ihr vor: es lautet A1. Wir freuen uns.

 

 

 

 

09.10.2010

Agility-Heimspiel und A2 Debüt für Joy

Das heutige Agilityturnier der KfT OG Ahlen sah unsere Sporties einmal mehr als Jumpingsieger. SS Anubis und Ines Hofeditz liefen den J3 fehlerfrei und konnten gewinnen. Auch Joy und ich blieben im J2 fehlerfrei und siegten. In unserem A2 Debüt war Joy noch nicht ganz wach und wir kassierten eine Verweigerung, kamen damit aber trotzdem noch auf Platz 2 *lol* in A1 wär das nicht passiert.

 

 

 

 

08.10.2010

Auf der Suche...

...nach dem richtigen Zuhause sind Merle und Mac Murphy vom Grafenberg. Geboren am 20.07.10 sind sie gerade im richtigen Alter, um ihre neuen Familien glücklich zu machen. Bei Interesse wenden Sie sich an Frau Linden, Kennel vom Grafenberg, ulrike.linden@web.de.

 

Augenuntersuchung "frei" für Mocca

SS Elegida (Mocca) war als drittes España zur Augenuntersuchung und ist befundfrei.

 

 

03.10.2010

4X ROT ist ein perfekter Tag

Bei der heutigen Obedienceprüfung des DVG MV-Ahlen konnten alle unsere startenden Springer die ersehnten roten Schleifen erringen. Als Debütant im Obedience startete heute SS Cougar mit Ursel Milke in der Beginnerklasse. Er gewann seine Klasse mit 288 Punkten "V" und Quali für OI. Auch SS Anubis und Ines Hofeditz gingen mal wieder in den OIII-Ring, erreichten trotz einer Nullrunde ein "V" und den vierten Platz. Als nächstes Langohr war Undis an der Reihe. Sie schaffte auch das "V" mit 283,5 Punkten und Platz 2 in OIII. Und der Knüller des Tages war meine Joy- just for fun gemeldet und wegen Läufigkeit ganz am Ende der Prüfung erliefen wir 299 Punkte "V" und damit Quali für OIII. Auch der Klassensieg gehörte Joy. Dass ich das noch erleben darf... :o) Anders als erfolgreich konnte dieser Tag auch gar nicht laufen, denn wir hatten viele Maskottchen zum Daumendrücken anwesend: SS Golddust (Eddie), SS Goldcup (Cooper), SS Bloody Mary (Fine) sowie Lovis unterstützten uns ausserhalb des Rings.

 

 

01.10.2010

Öfter mal was Neues

Lovis hat eine eigene Galerie und wir starten ein neues Tagebuch: Lovis Trainingstagebuch

 

28.09.2010

Happy Birthday C-chen!!!

Heute vor drei Jahren ist unser C-Wurf zur Welt gekommen. Wir gratulieren Coffee, Kiwi, Crazy, Camaro, Cougar, Calle und Cobi zum dreijährigen Wiegenfeste. Auf dem Foto sehen wir alle sieben kurz nach der Geburt. Sie alle haben sich prächtig entwickelt und sind aus dem Leben ihrer jeweiligen Familien nicht mehr wegzudenken.

 

 

25.09.2010

So seh´n Sieger aus Schalalalala... :-)

Bei der heutigen Obedienceprüfung des GHSV Lage konnte Undis mit mir die OIII gewinnen. Die Punktzahl ist ein Grund zu heftigem Zähneknirschen: 1,5 Punkte schrappten wir am Vorzüglich vorbei und erhielten mit 254,5 Punkten die Note sehr gut. Diese Pünktchen gehen wohl auf meine Kappe denn ich gab Undis recht viele Hilfen im Abschluß der Apporte. 10 Wochen nach der Geburt der 10 Babies schon wieder in einer solchen Topform zu sein, steigert meine Vorfreude auf die hiermit begonnene Herbstsaison.

Gute Neuigkeiten von Laboklin

SS Firefox Gentest auf cord1 ist heute gekommen. Er ist ebenso wie sein Bruder Jamie (SS Fraser) cord1 N/N (normal-frei). Dann warten wir jetzt mal mit Spannung auf die ausstehenden HD-Röntgen-Ergebnisse.

 

20.09.2010

Streber Coffee: Aufstieg in A2 in nur einer Saison

Beim gestrigen Agilityturnier in Krefeld Verberg blieben SS Coffee N Cream und Heinz Höfling wieder im A-lauf ohne Fehler und schoben sich damit auf Platz 2. Das Team hat damit die letzte nötige Qualifikation zum Aufstieg in A2 erhalten. Das erste offizielle Turnier liefen Heinz und Coffee vor nicht ganz einem halben Jahr, die erste Quali vor nicht einmal einem Monat.

und Shownews aus dem Ausland

In Dänemark hatte SS Elegida (Mocca) am vergangenen Samstag ihr Zuchtschaudebüt unter der finnischen Richterin Paula Rekiranta. Sie wurde zweite in der offenen Klasse Hündinnen mit 1. Prämie und der folgenden Kritik: Very good type, good head shape, good expressions, good nek and forechest, a bit straight in sholder and upperarm, a bit long in loin. very good bone and feet, good coat quality, need more drive in movement, very nice temperament.

 

 

 

14.09.2010

Ein bißchen Dies, ein bißchen Das

 

Als erstes F-röschchen hat SS Firestarter das offizielle HD Ergebnis bekommen. Es lautet B2. Seinem Lieblingshobby Agility steht nichts im Wege und nach dem Dänemark-Aktivurlaub bringt er nicht einmal mehr 20 kg auf die Waage- gelenkschonend allemal ;-)

 

Da schon der Großteil der Ne-G-erlein abgereist ist, und der Rest der Bande einen Regensonntag gemeinsam mit mir im Büro verbracht hat, sind einige Neuigkeiten auf der Homepage erschienen. Lovis hat ihre eigene Seite. Auf Cincos Erfolgeseite und in seiner Galerie sind ein paar Neuigkeiten und Fotos auf der Cinco Fotoseite. Unter Zucht aktuell gibt es vage Andeutungen über unsere Pläne für 2011. Ausserdem ist wieder eine Seite "Termine" eingefügt, dort kann man sehen wo wir Sporties am Wochenende zu finden und zu treffen sind.

 

Wir planen einen weiteren Steinkistenspaziergang diesmal am 28.11.10 und laden alle Springerfreunde der näheren Umgebung dazu ein. Mehr Info via e-mail oder Telefon.

 

Das Foto rechts zeigt die strahlenden Sieger der Beginnerklasse der Obedienceprüfung des HSV Fahrenkrug (siehe News 12.09.) Tina Hagge und SS Dear Divony (Ivy).

 

12.09.2010

stramme Leistung: Agility-Doppelsieg

Heinz Höfling und seine SS Coffee ´N Cream sind gestern beim Agilityturnier der SV OG Wulfen unter der Richterin Martina Weß gestartet, und Coffee gelang der erste Doppelsieg in der Sporty Springers Geschichte. Sie blieb im A1 fehlerfrei und schob sich weit vor auf Platz 1 mit 4,08 m/sec Laufgeschwindigkeit. Dies ist bereits das zweite Qualifikationsergebnis für den Start in der nächsthöheren Klasse A2. Auch den Jumping1 konnte das Team fehlerfrei gewinnen mit einer Laufgeschwindigkeit von 4,54 m/sec. Way to go, Heinz! Ich zittere jetzt ein wenig, dass ich nicht wieder Coffee als Konkurrenz in A2 habe beim Agilityturnier in Ahlen am 10.10. ;-)

 

Noch ein Grund zu feiern: Ivy siegt in der Obedience Beginnerklasse

Bei der heutigen Obedienceprüfung des HSV Fahrenkrug hatte Undis Tochter SS Dear Divony (Ivy) mit ihrer Führerin Tina Hagge ihr Obedienceprüfungs-Debüt. Sie erreichten unter dem LR Andreas Rieschick 276,5 Punkte damit ein "Vorzüglich" und die Qualifikation zum Start in der OI. Zu unserer großen Freude war dies die Höchstpunktzahl in der Beginnerklasse und Ivy hat damit direkt in ihrem Debüt ihre Klasse gewonnen. Weiter so, Tina!!!

Und aus dem Ausland erreicht uns noch die Nachricht, dass...

...SS Crazy Blizz bei der Obedienceprüfung des dänischen Spanielklubben in der Klasse LP2 mit ihrer Führerin Sandra Klaus eine 1. Prämie (analog V) mit 201,5 von 230 Punkten errungen hat. Mit dieser schönen Arbeit errang das Team Platz 3. Glückwunsch!!!

 

06.09.2010

völlig fassungslos: 2X BEST IN SHOW bei der SRA Neuwied

Wir hatten einen supertollen Tag in Gesellschaft von Elena Stöhr (Kennel de los Tres Robles) mit ihrem Springer Show-team. Das Wetter war klasse, die Organisation der Schau nahezu perfekt und somit wurde der Tag dank den Ergebnissen zu einem den man nie vergisst. Ich war zum ersten Mal mit Cinco im Ring. Noch einmal Jüngstenklasse und er präsentierte sich so hervorragend, dass er vielversprechend 1 erhielt mit folgendem Bericht: Für sein Alter schon sehr weit entwickelter Rüde, vorzüglicher maskuliner Kopf, dunkles Auge, bester Ausdruck, harmonisch aufgebaut, sehr seidiges und glattes Haar, noch schlichte Befahnung, kräftige Läufe, schwungvolle fast federnde Bewegung, sicheres und ausgeglichenes Verhalten. Später war dann Amber im Ring der Zwischenklasse Hündinnen und gewann diese mit V1 und VDH- Anwartschaft. Später fanden die Endkonkurrenzen statt und Cinco wurde in einer Konkurrenz von vier mit vv1 bewerteten Spaniel-Babies Best in Show!! Supertoll mein kleiner Mann! Danach kamen die Endkonkurrenzen für die erwachsenen Spaniels und Natalie machte mit Amber das Unmögliche möglich. Gegen die wunderschönen Springermädchen aus Spanien bekam sie das Club-CAC, wurde beste Hündin (hier setzte zum ersten Mal meine Atmung aus) gegen den besten Rüden wurde sie BOB (Rassebeste)!! Und zu den üblichen Klängen von Queen "we are the Champions" war sie für die Richterin Frau Junge der beste Hund der Schau (BIS). Niemals hätten wir das für möglich gehalten. Go Amber Go! :-) Fotos von R. Kohl HIER

SS Bouncing Matisse Platz2 in A2 in der Schweiz

Matisse und Ulrike Simon liefen in Basel mal wieder fehlerfrei im Prüfungslauf A2 kamen auf Rang 2 von fünf fehlerfreien Teams und haben damit eine Qualifikation zum Aufstieg in A3 errungen.

 

 

04.09.2010

uneingeschränkte Zuchttauglichkeit für Jamie

Bei der heutigen Bezirkszuchtschau in Neuwied erhielt SS Fraser von der Richterin Frau Junge die uneingeschränkte Zuchttauglichkeit mit folgendem Bericht: allg. Erscheinung: ansprechende Gesamterscheinung, noch in der Entwicklung stehend. Größe: 53cm. Haar: seidig und glatt, sehr schlichte Befahnung altersentsprechend. Kopf: sehr gut geschnitten,sehr guter Stop, muss sich noch etwas entwickeln. Augen mittelbraun, fest anliegende Lider, maskuliner Ausdruck. Gebiss: korrekte Schere. hals: lang und trocken. gebäude: sehr guter Aufbau, Brustkorb muß sich noch ausformen. Vor-/ Hinterhand: kräftige Läufe, sehr gute Winkelungen. Pfoten: gut aufgepolstertund geschlossen. Rute: korrekt getragen, fröhlich bewegt. Gangwerk: schwungvolle Bewegung mit sehr viel Raumgriff. Verhalten: temperamentvoll, freundlich und sicher.

 

29.08.2010

Was sagt man dazu

SS Energía (Amber- Foto unten von I. Meyer) hat sich einmal mehr auf der SRA in Göttingen von ihrer besten Seite gezeigt. Sie bekam von der Richterin Frau Müller (CH) das V1 VDH-CAC, das Club CAC, wurde beste Hündin, Best of Breed und erreichte in der Endkonkurrenz das Best in Show 2. Natalie, ihr seid grosse Klasse!!!

Heinz Höfling und SS Coffee ´N Cream (Foto rechts von Katrin Korn) siegten fehlerfrei in A1 bei der SV OG Oberhausen, haben somit ihre erste Aufstiegsquali in der Tasche und das bereits in Coffees erster Turniersaison. Super!

SS Camaro und Trix Schneeberger liefen einen BH2-Mehrkampf, absolvierten die Unterordnungsübungen und die Führigkeit souverän und erreichten 177 Punkte und damit Rang 3.

 

 

22.08.2010

Obediencenews:

SS Energía (Amber) hatte gestern ihr Obediencedebüt. Sie bestand die Beginnerklasse auf Anhieb, bei der Prüfung in Bergkamen unter der LR J.Montag. Ambers Rudelgenossin Talluhlahbelle (siehe Foto) erreichte in OI 313 Punkte und den Tagessieg. SS Dallas Desperado stand heute im Obediencering, mit 242,5 (Gruppe jeweils 0) Punkten bekam er in OI ein SG beim PHSV Burgdorf. Gratulation an die tüchtigen Führerinnen Heidi und Natalie!

Zuchtschaunews:

Bei der Bezirkszuchtschau in Kassel wurde heute der halbe F-Wurf vorgestellt. SS Firefox und SS Flirty Flake erhielten von der Richterin Frau Sommer die uneingeschränkte Zuchttauglichkeit. SS Feel Free erhielt den Formwert SG, ebenso wie ihre Schwester SS Fairy Tale.

 

15.08.2010

Gut erholt zum Agility-Sieg

Kurz nach dem erholsamen Urlaub an der Cote d´Azur ging es für SS Camaro und Frauchen Beatrice Schneeberger zurück ins Agilitygetümmel. Beim Hundesport Kiesen in Allmendingen (CH) liefen die beiden fehlerfrei im A-Lauf siegten so über 31 Mitkonkurrenten und haben ihre zweite Aufstiegsquali in der Tasche. Im Geschwistervergleich führt Camaro damit, um zwei Hundelängen :-) -die anderen Agility C-chen haben noch kein V0 bisher, jedenfalls nicht im A-lauf. Ich drücke die Daumen für weitere Nullfehlerläufe und natürlich auch für die anderen C-chen bei der Aufholjagd.

 

Der Seelenhund- eine wie keine


Gestern erst traf ich Novas Eltern Enni und Olavi Anfang 1998 auf einem Agilityturnier. Von Papa Olavi war ich so begeistert, dass statt meiner Pläne einen Groenendael für den Sport anzuschaffen, ich sofort einen Welpen aus dieser Verpaarung „buchte“. Als endlich der Wurf ein Jahr später geboren war wählte ich bei meinem ersten Besuch aus elf Welpen die „fetteste“ Hündin mit der geschlossenen Decke. Mehr Auswahlkriterien hatte ich damals nicht. Ich wollte eine möglichst große braun-weiße mit geschlossener Decke- Punkt.

Auf der Rückfahrt im Auto auf meinem Schoß hat sie gebrochen als wir fast zu Hause waren- nett von ihr. Und überhaupt, nett war sie eigentlich nie. Hochbegabt, blitzschnell ein WOW-Hund, nicht sehr schmusig eher immer auf der Suche nach der nächsten Action, sicher kein Hund für Jedermann. Am Anfang hat sie bei jeder Autofahrt hysterische Anfälle bekommen und wir waren viel im Auto unterwegs. Das hat sich gelegt. Im Training war sie oft zu schnell für mich und es hat lange gedauert bis wir im Agility eine gemeinsame Linie gefunden hatten und sie mir nicht mehr davonschoss. Auch im Obedience mussten wir uns zusammen raufen und ich sehe heute noch gerne das Video ihrer Begleithundprüfung und dazu als Vergleich, zwischen dem Welten liegen, ihre erste Obedienceprüfung. Triebfeder und Schlüssel zum Erfolg war ihre Ballverrücktheit. Nova ist körperlich keine „Große“ geworden, aber sportlich hinterließ sie Bewunderer wo immer sie auftauchte. Ihr Wurf war die Folge davon, so viele waren begeistert und wünschten sich einen Hund wie Nova. Ihre Kinder haben all unsere Erwartungen erfüllt. Und ich bin so glücklich ein Stückchen Nova in fast jedem meiner Welpen wiederzusehen. Nova hat sich immer gern an der Welpenaufzucht ihrer Rudelgenossinen beteiligt und war unbezahlbar wichtige Nanny, auch wenn sie gerne mal mit einem Welpenspielzeug abgedampft ist. Wer noch keinen Seelenhund hatte kann nicht nachvollziehen welches starke Band uns zusammenschloß. Im Alter war sie längst kein alter Hund, immer voll dabei auf jedem Spaziergang. Darum schmerzt es unsagbar, dass es innerhalb von zwei Stunden so weit war, dass ich ihr, die bereits wusste was kommt, ins Ohr flüstern musste: Wir sehen uns dann!

 

Nova 15.01.99-08.08.10

 

 

06.08.2010

man muß die Feste feiern...

Am gestrigen Donnerstag hatten SS Fraser (Jamie) und Frauchen Monika Morlak zur "Dog-Diving-Party" anlässlich des ersten F-röschchengeburtstags geladen. Da ich für solche Verrücktheiten ja grundsätzlich immer zu haben bin machten Joy und Cinco sich dort im Rudel verschiedenster Hunde einen genialen Nachmittag. Weitere anwesende Sporties waren Coffee und Jamies Bruder Laurin. Fotos von dem Event gibt es von Heinz Höfling HIER. Die Springer wissen wie man zünftig die Sau raus lässt...

 

01.08.2010

There´s no business like showbusiness!!!

AMBER BEST OF BREED in Bremen

Am Samstag bei der internationalen Rasseausstellung in Bremen reichte es für SS Energía (Amber) und Natalie Bökenkamp für das V2 mit Res VDH CAC. Am Sonntag dann bei der Nationalen war eine andere Richterin für die English Springer Spaniel zuständig. Fr. Poduschka-Aigner aus Österreich sah Amber vorne, gab ihr V1 mit VDH CAC in der Zwischenklasse, später das CAC und noch später ;-) das "Best of Breed" = Rassebester English Springer des Tages. Das Foto rechts entstand am Samstag und ist wieder von Frau Susanne Menten (ein herzliches Dankeschön dafür!!!). Weitere Fotos von Frau Menten -Kennel Felicitous- HIER.

 

30.07.2010

Alles Gute zum Geburtstag F-röschchen!!!

Heute vor einem Jahr ist Joys letzter Wurf zur Welt gekommen. Für Fire, Falk, Laurin, Jamie, Pommes, Lotta (Foto rechts), Emma und Flake stehen jetzt HD-röntgen und ZTB an, denn sie sind offiziell "volljährig". Bleibt weiter gesund und blitzgescheit. Auf der F-röschchen-Foto-Seite haben sich ein paar aktuellere Bilder dazugesellt. SS Fraser (Jamie) lädt übrigens Freunde und Verwandte zu einer Hunde-Pool-Party ein.

 

21.07.2010

Jumpingsieg für Coffee und Heinz

Nur eine Woche nach dem Turnier in Ahlen, also am 18. Juli lieferten Heinz Höfling und seine SS Coffee N´Cream Beim Agilityturnier der SV OG Sprockhövel wieder einen sauberen Jumpinglauf ab. Ihre Laufgeschwindigkeit von 3,8m/sec konnte im 27köpfigen Starterfeld niemand toppen und so gab es die verdiente Siegmedaille. Gerichtet hat Inge Kurz. Dass diese News so spät kamen lag am fehlenden Foto :o)

 

17.07.2010

Amber- auf dem Weg zum neuen Titel

Bei der heutigen Spezialrasseausstellung der "AG andere Spanielrassen" des Jagdspanielklubs erreichte SS Energía (Amber- Foto rechts) den Sieg in der Zwischenklasse Hündinnen mit VDH CAC, wurde später bei den Endkonkurrenzen beste Hündin und bekam auch das Klub CAC. SS Firefox (Pommes) wurde in der Jugenklasse Rüden vorgestellt und bekam V1 mit Jugend CAC, seine Schwester SS Flirty Flake bekam ebenfalls ein Vorzüglich allerdings war sie in der Hündinnen Jugend drittplatziert. Ringimpressionen aus Krefeld von Susanne Menten Hier.

Einen Glückwunsch den erfolgreichen Ausstellern Natalie Bökenkamp, Jürgen Koppenberg und Andrea Ossenkemper

 

17.07.2010

Zehn kleine Ne-G-erlein...

... sind heute früh angekommen. In der Zeit von 00.35 Uhr bis 06.00 Uhr schenkte Undis zehn Welpen das Leben. Alle Welpen sind schwarz-weiß, drei Rüden dazu mit Loh-Färbung. Unser G-Wurf besteht aus sechs Rüden und vier Hündinnen. Alle sind fit und saugen schon fleissig, auch Undis ist glücklich und zufrieden mit ihrem Kindersegen. Nach ein wenig Schlaf folgt sicher ein Update im Welpentagebuch.

 

11.07.2010

Bye bye A1 !!!

Zwei Tage Agilityturnier beim MV-Ahlen sind vorbei. Es starteten 6 Sporties in den verschiedenen Leistungsklassen. Gestern: SS Cougar debütierte in der A0. SS Black Gwynniver konnte sich im J3 fehlerfrei platzieren und meine Joy lief ein V0 in A1 aaaaber einige fehlerfreie Teams waren schneller in der Gluthitze, und so reichte es nicht für eine Platzierung. Spannend war´s bis uns der vorletzte Starter vom Treppchenplatz verdrängte. Dann heute: Joy bleibt wieder fehlerfrei und zu unserer Freude war auch ein dritter Platz drin, obwohl der gar nicht nötig gewesen wäre, war dies doch das 5. V0 -jetzt auch drei davon platziert, und wer hätte noch daran geglaubt: letzte QUALI für die A2 :-) SS Coffee `N Cream hätte uns noch einen Strich durch die Platzierungs-Rechnung machen können, mit einem schnelleren Lauf aber leider leider einem Kontaktzonenfehler. Im Jumping blieben Joy und Tochter Coffee beide fehlerfrei- Cof war eine Idee schneller und landete auf Platz zwei vor ihrer Mutter auf Platz drei. Coffees Schwester Kiwi (SS Cashmere Kiwi) hatte im Jumping leider einen Stangenfehler und kam nicht in die Platzierungen. Gerichtet hat gestern Hubertus Schulte und heute Kirsten Brox. Fotos von Heinz Höfling Hier

Showbiz bei der SRA Siegen

Amber (SS Energía) gewinnt die Zwischenklasse Hündinnen mit V1 VDH CAC und bekommt in den Endkonkurenzen noch das Klub CAC. Pommes (SS Firefox) bekommt in der Jugendrüden V2 mit Res JCAC und Cinco (Whimsical de los tres Robles) erhält ein vv1 in der Jüngstenklasse. Einen herzlichen Dank an Natalie Bökenkamp für Cincos Handling.

 

 

 

 

27.06.2010

Camaro und Trix platziert im Jumping1

Beim heutigen Agilityturnier des KV Sensetal (Schweiz) blieb SS Camaro mit seiner Führerin Beatrice Schneeberger im Jumping 1 fehlerfrei. Mit einer Laufgeschwindigkeit von mehr als 4m/sec sicherten sie sich damit einen zweiten Platz in der Jumpingdisziplin.

 

 

20.06.2010

Crazy ist SGSV Nachwuchssieger

Gestern fand beim HSV Friedrichshagen die Obedience-Verbandsmeisterschaft des SGSV statt. Sandra Klaus und ihre SS Crazy Blizz waren qualifiziert zur Teilnahme in Klasse 1. Das Team setzte sich gegen ein sechsköpfiges Starterfeld in Klasse 1 durch und gewann mit 267 Punkten und der Note Vorzüglich unter der Richterin Susanne Tauert. Für Crazy ist in diesem Jahr noch eine Prüfung in Dänemark geplant und danach der Start in der OII.

 

 

 

14.06.2010

und jetzt tief durchatmen

Auch wenn man sich seiner Sache sicher ist, gibt es doch kaum einen spannenderen Moment als den ersten Blick auf den Monitor des Ultraschallgeräts. Und auf den ersten Blick war gleich zu sehen: Undis ist tragend! Jippie! Danke allen Daumendrückern. Jetzt können wir uns wirklich freuen auf unseren G-Wurf. Wie immer teilen wir die Vorfreude gern in unserem Welpentagebuch.

 

 

 

06.06.2010

...und jetzt mal die Herren und eine Dame

SS Anubis hat einmal mehr die Qualifikation zur dhv-DM-Agility erreicht und damit einen weiteren wichtigen Termin in seinem Saisonplaner. Bereits am Samstag blieben Anubis und seine Führerin Ines Hofeditz fehlerfrei im A3-Lauf beim Agilityturnier in Hagen a.T.W. und belegten einen zweiten Platz. Auch seine Nichte Gwynn blieb fehlerfrei in A3, es reichte aber nur zu Platz 5.

Ebenfalls einen fehlerfreien zweiten Platz allerdings in A2 bescherte SS Bouncing Matisse (Foto rechts) seiner Führerin Ulrike Simon beim Agilityturnier in Emmendingen am Samstag. Bei sommerlichen 30 Grad im Schatten lief Matisse zur Höchstform auf.

SS Elogio (Oskar) war in ganz anderer Mission unterwegs: am Samstag erhielt er in Neuss die ZTB, am Sonntag ein SG1 in der Zwischenklasse Rüden unter dem Richter P. Beyersdorf. Auch die DOK Augenuntersuchung wurde gemacht und Oskar ist frei von PRA und Katarakt. Unser erstes E-spaña mit ZTB *freu*

Und noch mehr tolle E-spaña-News: SS Elegida (Mocca- Foto rechts unten) bestand heute ihre erste Dänische Apportierprüfung. Apportieren von Federwild an Land und aus dem Wasser. Diese Prüfung ist eine Prüfung mit Schuß, wovon sich Mocca selbstverständlich unbeeindruckt zeigte. Diese Prüfung berechtigt Mocca dazu mit ihrer Führerin Anne Hosbond an den Jagdprüfungen im Herbst teilzunehmen. Mocca war der einzige Hund von 12 Teilnehmern der die Prüfung bestand.

Ganz herzliche Glückwünsche an alle meine so superaktiven Sportiesbesitzer!!!

 

 

03.06.2010

Jumping-Queens on tour

Mal wieder ein fehlerfreier Jumpinglauf von Joy der mit einer Platzierung belohnt wurde. Den dritten Platz erreichten wir heute in der Jumpingdisziplin Klasse 1 in Menden unter der Richterin K. Brox. Joys Tochter machte es ihr nach, auch Gwynn (SS Black Gwynniver) blieb im Jumping 3 fehlerfrei und erreichte ebenfalls einen dritten Platz. SS Anubis mußte mit dem undankbaren vierten Platz hinter seiner Rudelgenossin vorlieb nehmen.

Das Foto rechts von Joy ist nicht aus einem Jumping- man kann im Hintergrund die A-Wand erkennen, es ist noch nicht einmal von heute sondern vom Cup-Lauf in Ibbenbüren und stammt aus der Kamera von Daria Kusch.

Ach, und die Einzelpunkte der LM sind mittlerweile auf Undis Erfolgeseite

 

30.05.2010

Vize-Landesmeisterin im LV Westfalen

Bei der heutigen Landesmeisterschaft des Landesverbands Westfalen arbeitete meine Undis supertoll und endlich, endlich blieben wir auch mal wieder ohne Nuller sodass wir schlußendlich mit 269,5 Punkten und "V" in der OIII den zweiten Platz belegten. Leider habe ich die Einzelpunkte der Übungen nicht, weiß aber die 10er: Sitz, Fußarbeit!!!!!!, und Distanzkontrolle. Gerichtet hat Judith Montag beim HSV Münster. SS Anubis und Ines Hofeditz belegten Rang 3 mit 220 Punkten und "G".

V2 Res-VDH CAC für Amber

In Giessen wurde heute SS Energía (Amber) ausgestellt und bekam ein V2 und somit das Reserve-VDH-CAC vom Richter Herrn Deutscher.

 

27.05.2010

Happy Birthday D-Wurf

Genau heute vor zwei Jahren durften wir uns mit Mama Undis über die Geburt von SS Dallas Desperado und SS Dear Divony freuen. Ich verfolge gespannt was ihr neues Lebensjahr den beiden bringt und drücke weiter die Daumen für Ivys gute Genesung nach einer Fremdkörper-OP.

Auf dem Bild ist kein D-äumling sondern ein F-röschchen zu sehen, nämlich SS Fireworx by "Laurin" fotografiert von Melanie Hagenbach.

 

21.05.2010

Una semana en España

Wir sind zufrieden zurück von einer Woche Hochzeitsreise in Spanien. Am 16. und 18.05. wurde Undis von Patton gedeckt, also hoffen wir auf Welpen in der 28. Kalenderwoche. Infos zu der Verpaarung gibt es unter Zucht aktuell und im Welpentagebuch.

Sportliche Newsnachträge:

Am 13.05. konnte SS Black Gwynniver im A3 und J3 jeweils fehlerfrei den 3. Platz erringen und kam in einer Kombinationswertung auf Platz 1 aller 54 A3 Starter. Wow!

SS Crazy Blizz debütierte in A1 und kam trotz eines Kontakzonenfehlers auf Platz 3 mit 4,5m/sec Laufgeschwindigkeit.

Einen Glückwunsch an die Besitzerinnen, Ines Hofeditz (Gwynn) und Sandra Klaus (Crazy)

 

07.05.2010

Party on!

Amber (SS Energía) gewinnt die Jugendklasse Hündinnen bei der Nationalen Rasseausstellung in Dortmund mit V1 und J-CAC. Somit erfüllt sie die Voraussetzung für den "Deutschen Jugendchampion (VDH und Klub)"

Einen Riesenglückwunsch an ihre Besitzerin Natalie Bökenkamp! Ihr seid ein tolles Team! Ich bin soooo stolz auf euch.

Am Sonntag bei der Europasiegerschau in Dortmund erreichten die beiden ein V4 in der Jugendklasse Hündinnen.

 

05.05.2010

Ticket gelöst zur Agility-Bundessiegerprüfung

Am vergangenen Sonntag konnte SS Anubis erneut die Qualifikation zur Bundessiegerprüfung Agility erreichen. Mit fehlerfreiem Lauf mit 4,5 m/sec und Platz 2 in A3 bei den "Hammerhunden Herringen" war für Anubis und seine Führerin Ines Hofeditz die Teilnahme gesichert. Wir drücken die Daumen!

 

 

02.05.2010

Der Mayday :-)

Wie jedes Jahr am ersten Maiwochenende fand gestern das Sporty Springers & Friends Festival statt. Viele weitgereiste Gäste kamen auf der Platzanlage des DVG MV Ahlen zusammen, um die Geschwister ihrer Hunde wiederzusehen, mit den jeweiligen Besitzern zu plauschen, die Hunde spielen zu lassen, die Vorführungen zu bewundern oder sogar zu gestalten. Am Vormittag sahen wir eine actiongeladene Dog-Frisbee Vorführung von Sandra und ihrer Crazy (Foto unten)- im Anschluß gab es dann auch die Möglichkeit dies mit dem eigenen Hund zu probieren. Am Nachmittag begeisterte Monika mit ihren Jungs Neo und Jamie (Foto rechts) mit jeweils einer Dogdance Choreographie das Publikum. Den Abschluß des gelungenen Tages bildete wie immer das Hunderennen, das Falk in der Juniorkategorie und Camaro bei den Erwachsenen für sich entscheiden konnten. Fotos von unserem schönen Tag gibt es HIER und HIER von Heinz Höfling.

 

 

30.04.2010

In Szene gesetzt

Am vergangenen Sonntag hatte meine ganze Bande einen professionellen Fototermin mit Daria Kusch. Auf den individuellen Fotoseiten meiner Hunde kann man jetzt einen kleinen Teil des Shooting-Ergebnisses sehen.

Danke Daria für deine Mühe und Danke Annette und Sabine für das gelungene Geburtstagsgeschenk!

 

24.04.2010

YES!!! Vorzüglich auf der ganzen Linie!!!

Äusserst erfolgreich konnte Heute SS Dallas Desperado sein Obediencedebut bestehen. Auf Anhieb "V" in der Beginnerklasse mit 278,5 Punkten Platz 2 von 9 Startern und damit der Qualifikation für OI bei der Obedienceprüfung der "Peiner Eulen" unter der LR Birgit Funk.

"Äusserst erfolgreich" wäre eine Untertreibung für Crazys (Foto) tolle Leistung heute in Obedience Klasse I. SS Crazy Blizz erreichte 302,5 von 320 möglichen Punkten, hat damit auch ein "V", Rang 1 von 8 und darüber hinaus die Qualifikation für OII. Sandra Klaus startete mit ihrer Crazy in Lübbenau unter dem LR John van Hemert.

Auf der CACIB in Lingen wurde SS Energía (Amber) von Natalie Bökenkamp ausgestellt, sie erhielt V1 und das Jugend-CAC unter Fr. Assenmacher-Feyel.

Einen herzlichen Glückwunsch und ein Dankeschön an Heidi, Sandra und Natalie.

 

18.04.2010

Amber: Begleithundprüfung mit Tagessieg

Am heutigen Sonntag legte Natalie Bökenkamp mit ihrer Amber (SS Energía) die Begleithundprüfung beim DVG MV Ahlen ab. Amber leistete sich nicht den kleinsten Fehler und überzeugte die Richterin mit ihrer freudigen Arbeitsweise, so dass das Team bei der Siegerehrung noch einmal lobend erwähnt wurde mit den Worten: "beste Unterordnung des Tages". Insgesamt wurden heute sieben Hunde geprüft, einer konnte leider nicht bestehen.

Natalie wünsche ich ab jetzt viel Spaß beim ROTE-Schleifen-sammeln im Obedience :-)

 

 

11.04.2010

Das verflixte siebte Jahr: Happy Birthday A-Wurf

Der A-Wurf hat heute Geburtstag und wird sieben Jahre alt. Die Mutter des A-Wurfs Nova kommt auf dem Bild rechts ihren "Nanny"-Pflichten nach.

Sportnews:

Beim HGV Berlin erreichten Sandra Klaus und ihre Crazy (SS Crazy Blizz) gestern einen 1.Platz mit einem fehlerfreien Lauf in A0.

Shownews:

Auf der Ausstellung in Dresden bekam Ivy (SS Dear Divony) ein SG3 von der Richterin M. Scriba-Färber.

 

09.04.2010

Und schon ist er da: Willkommen Cinco!

Eigentlich war alles ganz anders geplant, bis ein rettender Engel einsprang und "Flugpate" wurde. Darum ist Cinco jetzt ziemlich genau einen Monat früher bei uns als gedacht. Dafür ein dickes Dankeschön an Helge. Ein weiterer Dank gilt natürlich Cincos Züchterin Elena Stöhr (de los tres Robles) dafür, dass ich den kleinen Mann hier haben darf.

Er benimmt sich wie ein Welpe: hat bereits hier alles erkundet, frisst wie ein Scheunendrescher, läuft mir ständig zwischen die Füße und fällt von jetzt auf gleich in tiefen Schlaf. Wie man sieht muß er die alten Sachen seiner Groß-Groß-Kusine Pearl auftragen, das macht ihm aber gar nichts aus- er ist froh, dass es kein rosa Geschirrchen ist. Nova und Joy haben ihn freundlich empfangen, Undis ist etwas ungnädig- sie befürchtet wohl vom Thron gestossen zu werden. :-) und ich, ich freu mich auf die Zeit die kommt.

 

 

01.04.2010

Undis und Joy weiter frei von Augenerkrankungen

Heute waren Undis und Joy ein weiteres Mal zur DOK Augenuntersuchung und sowohl bei Undis als auch bei der fast siebenjährigen Joy ist weiterhin alles in bester Ordnung.

 

Frohe Ostern wünschen wir allen unseren Freunden!

Der Osterhase hat auf meiner Homepage ein 10 kg schweres Ei versteckt. Finders-Keepers gilt hier allerdings nicht. :-)

 

24.03.2010

Offizielles Agilitydebut für Coffee

Am vergangenen Samstag startete Heinz Höfling mit seiner SS Coffee ´N Cream (Foto rechts) zum ersten Mal bei einem offiziellen Agilityturnier in Ratingen. Das Ergebnis kann sich sehen lassen: Im A-lauf zwei Fehler, Platz8 im Jumping bereits fehlerfrei und Platz4- Da kommt dann wohl die nächste Jumping-Queen :-)

Ivy besteht die BegleitHundprüfung

SS Dear Divony legte mit ihrer Führerin Tina Hagge am vergangenen Sonntag die Begleithundprüfung beim HSV Groß-Grönau ab.

Wir gratulieren!

 

19.03.2010

Manchmal kommt alles anders

Der für das Frühjahr geplante Wurf Dallas X Fine muß leider auf einen späteren Zeitpunkt verschoben werden.

Gwynn erneut platziert im J3

SS Black Gwynniver und ihre Führerin Ines Hofeditz starteten am vergangenen Samstag beim DVG MV Östrich und belegten einen fehlerfreien dritten Platz.

Undis läuft "gut" in der OIII

Die zweite Prüfung in 2010 am vergangenen Sonntag in kalletal bescherte uns wieder zwei Nullrunden, aber die Punkte reichten noch für ein knappes "Gut". LR war Judith Montag.

 

07.03.2010

SRA Soest: Sporties Rudel auf der Jagd nach vv´s und V´s

Eine kleine Sensation für mich: Vier "Welpen" meiner Zucht versammelten sich heute auf die verschiedenen Klassen verteilt auf der Spezialrasseausstellung in Soest. Der Tag begann wie immer mit den Jungs: English Springer Spaniel Rüden Jüngstenklasse: Sporty Springers Firefox (Pommes) vielversprechend 1 mit diesem Bericht: Pleasing tricolour puppy, Excellent head, well constructed front, excellent bone, Nice body, topline and quarters, moved ok. (Foto unten) Danach kam der nächste Sportie in der Zwischenklasse Rüden : Sporty Springers Dallas Desperado Vorzüglich 2 Res. Anw. Dt Ch. VDH (Foto oben) Nun zu den Mädels ebenfalls Jüngstenklasse diesmal Hündinnen Sporty Springers Flirty Flake vielversprechend 2 mit dem folgenden Bericht: Lovely feminine puppy, super head and eye, excellent neck and shoulders, nice bone, very good quarters, moved well, just needs to develop all through to complete the picture. Mittlerweile ein "alter Hase" im Showbiz machte auch Amber ihren Job im Ring sehr gut. Zwischenklasse Hündinnen: Sporty Springers Energía bekam Vorzüglich3 von sechs anwesenden Hündinnen. Zuletzt als "Ehrensportie" ging meine Desperados Undis in den Ring der offenen Klasse Hündinnen und erreichte unter fünf Hündinnen Vorzüglich 2 Res Anw. Dt Ch. VDH mit diesem Bericht: Very Good Head, nice shoulders, bone and feet, very good ribs, well muscled quarters, sound,stylish mover with excellent side profile. Die Berichte des Richters Mr Armstrong (GB) lesen sich sehr schön und ich bin sehr zufrieden mit den Ergebnissen. Mein Dank geht an die Aussteller: Jürgen Koppenberg (Pommes), Heidi Krüper (Dallas), Andrea Ossenkemper (Flake) und last but not least Natalie Bökenkamp (Amber). Darüberhinaus hatten wir vielen netten Besuch bei unserem "Heimspiel" unter anderem SS Firebird (Falk) der sich am Ringrand schon ganz abgeklärt verhalten hat und dem ganzen Spektakel von Ferne zusehen durfte.

 

 

 

03.03.2010

Gesucht wird...

...ein Zuhause mit Ausstellungsambitionen für den kleinen acht Wochen alten Rüden auf dem Foto rechts. Eine aktive Familie die Spaß am Showbiz hat oder bekommen könnte wäre genau das richtige für diesen vielversprechenden Welpen. "Whimsical des los tres Robles" ist ein waschechter Spanier aber keine Angst vor der Entfernung: Spanien liegt manchmal deutlich näher als man denkt ;-). Bei Interesse nehmen Sie bitte Kontakt auf mit Frau Stöhr: springerspain@hotmail.com

 

und in eigener Sache Springerwandertag II etc:

am 28.03. ab 11.00 Uhr (Achtung Zeitumstellung) wollen wir wieder gemeinsam die "Steinkiste" (Soest) unsicher machen. Wäre doch schön wenn wir nochmal so eine Riesenmeute zusammenbekämen. Fotos vom letzten Wandertag HIER von Heinz Höfling und HIER von Monika Morlak . Ich bitte um kurze Anmeldung via e-mail Telefon oder Forum.

 

Das Sporty Springers&Friends Festival auch "Welpentreffen" genannt, wird am 01.Mai stattfinden. Auch hier bitte Anmeldungen mit Angabe der teilnehmenden Personen bis zum 15.04.

 

28.02.2010

Speed&Style again

Für die Abteilung Speed (Fotos rechts oben: "der MV-Ahlen on Tour" rechts unten: Joy) zuständig waren Gestern meine Joy im A1 Lauf in Münster und ihr Sohn SS Camaro im Open in Münsingen (CH). Der Esel nennt sich selbst zuerst, darum zuerst Joys Ergebnis: mit einem Fehler ein 2. Platz im A-lauf unter LR R. Aßmann. Camaro und Trix Schneeberger blieben fehlerfrei im Open und sicherten sich einen 3. Platz.

Die Abteilung Style (Foto unten) wurde auf der Rassehundeausstellung in Rheinberg ausgefüllt von SS Energía (Amber) mit Natalie Bökenkamp. Sie gewann die Jugendklasse Hündinnen mit V1 J-CAC und dem netten Tagestitel: Rheinlandjugendsiegerin. Hier der Richterbericht von Frau Loch-Romans:

Braun-Weiss. Sehr schöne Hündin mit viel Qualität für die Rasse. quadratischer Kopf, Körper ist quadratisch Handler macht ihn aber lang In der Bewegung sehr typischer Springer, sehr schönes Haarkleid

-Rheinlandjugendsiegerin

-bester Junghund

- V1 Anw. Dt. Jug. Ch. VDH / CAC

 

26.02.2010

Neues von den F-röschchen:

Das Gentestergebnis ist da: SS Fraser (Jamie- Foto rechts) ist PRA cord1 frei.

SS Firebird (Falk) hatte sein Ausstellungsdebut am vergangenen Sonntag in Frankfurt und erhielt von der Richterin T. Schmid (CH) in der Jüngstenklasse ein "versprechend".

SS Fairy Tale (Lotta) und SS Feel Free (Emma) geht es ebensogut wie allen anderen F-röschchen, davon habe ich mich auf einem "Verwandtenbesuch" am vergangenen Wochenende in Kassel selbst überzeugt- jetzt gibt es also auch vom Emma ein Foto auf der F-röschchenbilderseite- kein Gutes, aber besser als nix :-))

 

14.02.2010

Guuuuuuuuuute Neuigkeiten

Auch das letzte E-spaña hat A- Hüften genauer gesagt: A2

Wir freuen uns mit Ambers (SS Energías) Besitzerin Natalie Bökenkamp über das schöne Ergebnis.

Das Foto von Amber rechts entstand bei einer Session im Januar mit Daria Kusch.

Und ein paar Zahlenspielereien: Es sind jetzt von 27 Sporty Springers im röntgenfähigen Alter 14XA, 7XB, 2XC und drei von fünf Würfen sind komplett geröngt- Das Ergebnis erhoffe ich mir auch für die Zukunft.

 

23.01.2010

Schon vorbei :-(

Wir sind zurück von einer Woche Verwandtenbesuch in Lörrach und Frutigen (CH). In eine Woche passten ein Obedienceworkshop, drei Wanderungen in den Schweizer Bergen, vier Agilitytrainings und unzählige lange Spaziergänge mit Schwimmeinlagen *Brrrrrr*. Auf dem Foto von rechts nach links: Joy, Nova, Undis und Camaro, im Hintergrund der Thuner See.

 

Zwei E-spañas mit A-Hüften, Oskar B2

Mittlerweile sind alle vier "Welpen" des E-Wurfes geröngt und für Poldi (SS Empollón) und Mocca (SS Elegida) fiel das offizielle Ergebnis sehr gut aus: Poldi hat A2 und Mocca in Dänemark A/A. Für Oskar (SS Elogio) lautet das Ergebnis B2. Wir freuen uns sehr und hoffen, dass auch Amber (SS Energía) eine gute Bewertung bekommt.

 

 

15.01.2010

Happy Birthday Nova

Meine Nova hat heute Geburtstag und wird elf Jahre alt. Vom Foto gratulieren ihr ihr Vater Olavi (Olavi vom Lerchenwald) und ihre Enkeltochter Lotta (SS Fairy Tale).

 

...und ab in den Süden

Meine Mädels und ich verabschieden uns für eine Woche ins Trainingslager und sind nur übers Handy zu erreichen.

 

 

11.01.2010

Gwynn Platz 3 im Jumping3

Beim gestrigen Auftakt der Agility-Triade in Bünde ausgerichtet vom HSV Fairplay Bielefeld blieb SS Black Gwynniver mit Ines Hofeditz fehlerfrei im Jumping und erreichte in einem großen A3 Starterfeld einen schönen dritten Platz. Gerichtet hat als LR-Anwärter Marcel Schlühr. So kann das Jahr gern weitergehen.

 

 

 

05.01.2010

Augenuntersuchung für Finchen

Die heutige DOK Augenuntersuchung für Finchen war wieder befundfrei. Wir können also unter Zucht-aktuell die Wurfpläne für 2010 und damit die Verlobung von Undis Sohn Dallas mit Joys Tochter Fine bekanntgeben. Wann Hochzeit gehalten wird bestimmt das Finchen ganz allein, aber wir erwarten die Läufigkeit in Kürze.

Auf dem Foto rechts tobt Joys Sohn SS Fraser durch den Schnee auf Texel.

 

 

 

03.01.2010

Jahresziel bereits erreicht: Matisse doppelt in A2!

Das ging jetzt aber flott. SS Bouncing Matisse hat am zweiten Turnierstart im neuen Jahr den Aufstieg klar gemacht, mit einem fehlerfreien zweiten Rang in Kaiseraugst (Schweiz). Und überhaupt war es ein guter Turniertag mit drei fehlerlosen Läufen an einem Tag und der richtige, wichtige Lauf platziert. Wir drücken also die Daumen jetzt für den Aufstieg in A3. Vielleicht ist das ja ein neues Jahresziel- nicht, dass ihr euch jetzt auf euren Lorbeeren ausruht? Glückwunsch Ulrike!

Das Foto von Matisse rechts hat im vergangenen Sommer Beatrice Schneeberger gemacht.

 

 

 

01.01.2010

Frohes Neues Jahr!

Allen Freunden und Bekannten und Besuchern dieser Homepage wünsche ich ein glückliches Neues Jahr 2010. Auf dem Foto sieht man SS Firefox (Pommes) und hier sind noch mehr Bilder vom 27.12.09

Gleichzeitig möchte ich die einen erinnern und die anderen aufmerksam machen, auf unseren Springerwandertag am 24.01.2010. Wir treffen uns an der "Steinkiste" (Soest), um 11.00 Uhr und wollen nach ungefähr einstündiger Wanderung auch noch "einkehren" es wäre nett, wenn sich die Teilnehmer per e-mail, Telefon oder Forum anmelden würden.

 

 

Copyright Yvonne Keeve Letzte Änderung:22.07.2010